従来、むし歯の治療には金属が多く使用され続けてきました。それは、金属が硬く作りやすい最良の材料だったからです。ただし、白い歯の美しさは失われました。その後、金属フレームにプラスチックを貼り付けたり、セラミック(陶材)を焼き付けたりしたものが開発されました。しかしこれらは写真映りが不自然に白くなったり、歯ぐきが黒くなったり、金属アレルギーを発症したりするなどの欠点がありました。
強く美しい理想的な歯が実現するオールセラミック
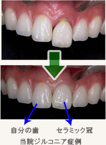
近年、医療も材料も飛躍的な進歩を遂げ、従来の金属フレームに優る強度を持ったセラミックのフレームを製作することが可能となり、世界各国で使用されるようになりました。これが、オールセラミックです。
歯と同じように光をほどよく透過するので、天然歯に近い色彩が可能となりました。金属をまったく使わない治療が可能になるため、金属アレルギーの心配もありません。当院ではセラミックを使用して、美しく自然な治療をご提供します。




